"Airway Dentistry" - let's unpack the latest trend in the dental profession.

"Airway Dentistry" - let's unpack the latest trend in the dental profession.By: Bhavik Desai, DMD, PhD, Diplomate American Board of Oral Medicine Published on: 25/10/2025

Airway dentistry is not a recognized dental specialty and some of its proponents have problematic, non-evidence based treatment ideas.

TMDSleep Apnea
"Airway Dentistry" - let's unpack the latest trend in the dental profession.

Is Botox Really Effective in Managing TMJ Disorders?

Is Botox Really Effective in Managing TMJ Disorders?By: Bhavik Desai, DMD, PhD, Diplomate American Board of Oral Medicine Published on: 04/10/2025

Botox injections may not be effective in managing jaw pain from TMJ problems

TMDBotox
Is Botox Really Effective in Managing TMJ Disorders?

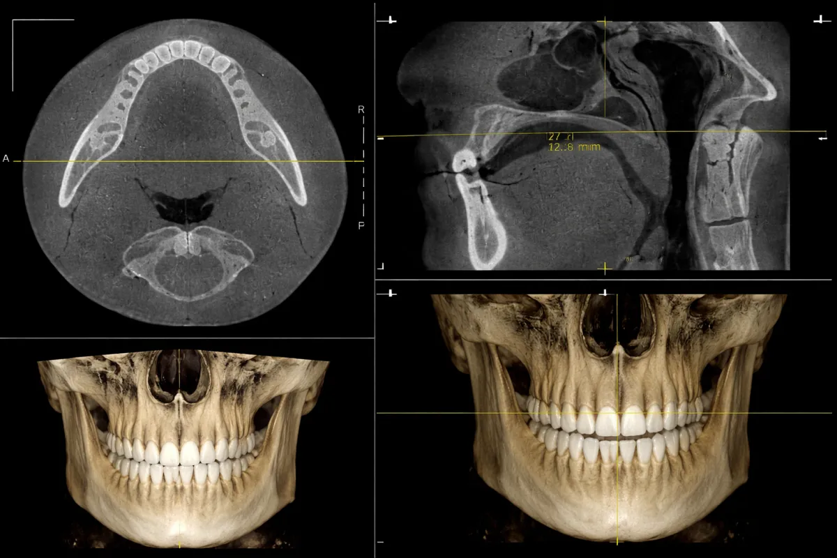
Expanding Wallets With Palates: The Evidence Problem with MARPE and Palatal Expansion in Treating TMJ Problems

Expanding Wallets With Palates: The Evidence Problem with MARPE and Palatal Expansion in Treating TMJ ProblemsBy: Bhavik Desai, DMD, PhD, Diplomate American Board of Oral Medicine Published on: 05/09/2025

Bite interventions may not be needed when addressing jaw pain. TMD may be the leading cause.

TMDSleep Apnea
Expanding Wallets With Palates: The Evidence Problem with MARPE and Palatal Expansion in Treating TMJ Problems

Why “Neuromuscular Dentistry” Isn’t Evidence-Based Care for TMD

Why “Neuromuscular Dentistry” Isn’t Evidence-Based Care for TMDBy: Bhavik Desai, DMD, PhD, Diplomate American Board of Oral Medicine Published on: 21/08/2025

Well-designed studies have demonstrated that neuromuscular dentistry often achieves worse outcomes than evidence-based, conservative options we’ve trusted for years.

TMD
Why “Neuromuscular Dentistry” Isn’t Evidence-Based Care for TMD